Because we care, we’ll provide you with retainers to keep your teeth straight AND we will continue to see you afterward to maintain your smile!
Orthodontic research has shown that teeth continue to shift throughout life regardless of the type of orthodontic treatment provided. Therefore, retainers are essential to maintaining your smile and to keeping your teeth straight. The retention plan should be designed specifically for each individual depending on the type of treatment provided and the type of relapse expected. This is a critical part of orthodontic treatment that is unfortunately often overlooked causing relapse and creating the need for a second round of orthodontic treatment in the future. One of our goals at Band & Wire Orthodontics is to provide you with the best type of retainers that would be most effective for you and to continue to see you for an extended period of time to ensure the stability of your treatment result.
There are several types of retainers, each has its own pros and cons. The type of retainer(s) recommended for you will be discussed thoroughly in your smile consultation.
Clear Plastic Retainers
Clear plastic retainers are formed using a model of your teeth. They are clear, removable and barely visible. Research has shown that clear retainers are just as effective in maintaining the stability of teeth after treatment as traditional wired retainers.
Advantages of clear plastic retainers
- Barely visible
- Removable
- Easy to clean
- Do not need to be adjusted
- Can be produced quickly

Permanent Retainers
Permanent retainers are usually made of thin gold or stainless steel wires and are cemented behind front teeth. They are mostly used to hold the lower front six teeth although they can be used in the upper teeth in certain cases as well. Permanent retainers are safe, easy to maintain and very effective in preventing tooth shifting (relapse). For all of these reasons, we recommend using lower permanent retainers on almost all of our cases.
Advantages of lower permanent retainers
- Not visible
- Safe and comfortable
- Very effective
- Last a long time and require little to no maintenance

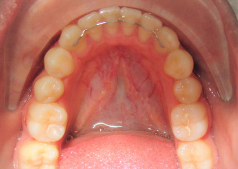
Traditional Removable Retainers
Traditional (Hawley) removable retainers are commonly used can can be the preferred type of retainer in certain cases. They consist of a plastic please that cover the roof of the mouth and a wire than wraps around the teeth.
Advantages of traditional Hawley retainers
- Durable
- Adjustable (can be tightened or loosened as needed)
- Effective

Vivera® Retainers
Vivera® retainers are made by the same lab that makes Invisalign®. They are high quality plastic removable retainers that can be used after orthodontic treatment with braces or Invisalign®.
Advantages of Vivera® retainers
- Four sets of retainers are provided
- High quality and excellent durability
- Comfortable and fit well

Spring Retainers
Spring retainers are a special type of removable retainers than can be used for minor tooth movement or correction. They can be a good cost-effective option for minor cases but results can be unpredictable.
Advantages of Spring Retainers
- Can be used to move (re-align) teeth
- Customizable and adjustable
- Can be used instead of a traditional retainer after the desired correction is achieved
Discover more services
-
12
Tongue Tie and Lip Tie Release
We offer services to resolve tongue tie or lip tie for children and teens through precision laser surgery.
-
11
Solea Laser Dentistry
Solea is a revolutionary technology that completely changes how dentists work on patients. Patients no longer have to worry about anesthesia.
-
01
Pediatric Dentist
Specialized pediatric dental care, dedicated to treating children from infancy until adolescence.
