Does Your Child Need a Palatal Expander?
A palatal expander is an orthodontic appliance used to widen the upper jaw. Palatal expanders come in different designs and shapes but they all serve the same purpose. Palatal expanders are commonly used in orthodontic treatment but only around 10% of children need them and benefit from their use.
When should a palatal expander be used?
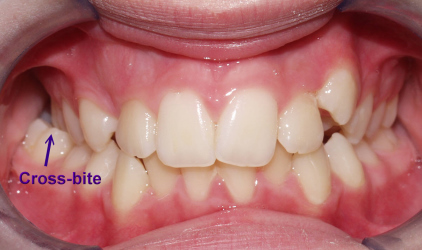
A palatal expander may be recommended for your child for a variety of reasons but the main indication is to correct a dental condition called a crossbite. Normally, upper teeth should overlap lower teeth when they come together during biting and chewing. A crossbite occurs when the upper teeth come in contact inside (or behind) the lower teeth as shown in the picture below.
What causes a crossbite?
A crossbite is usually the result of a narrow upper jaw. This may be caused by underdevelopment of the upper jaw (genetic and hereditary factors) or by oral habits such as thumb sucking.
How common are crossbites and when can they be diagnosed?
Only about 9% of children are diagnosed with a crossbite1. Although a crossbite may be diagnosed early (4-5 years old), it is rarely treated at this age. The optimal time to treat a crossbite is around age 7-8.
Does my child need an expander if he/she has a crossbite?
It is important to understand the reason for the recommendation, pros and cons of treatment and consequences of no treatment. Getting a second opinion is always a good option when you’re in doubt. If you are in the Chicagoland area please consider us for a complimentary consultation. We are happy to be of assistance!
The short answer is yes. A crossbite is one of the few orthodontic problems that requires treatment at a young age (7-8 years) to avoid growth problems. If left untreated, a crossbite may result in the lower jaw growing asymmetrically.
My child does not have a crossbite, Would he/she benefit from a palatal expander?
The short answer is no. Using a palatal expander without a crossbite has limited indications and questionable benefits2.
My child has a small mouth and crowded teeth. Would a palatal expander help?
If your child does not have a crossbite, the amount of expansion that can be done is limited. This is due to the fact that the lower jaw cannot be expanded and therefore, the upper jaw can only be expanded slightly. Additionally, the upper jaw will likely shrink and go back to its original width a few years later. This renders palatal expansion for the sole purpose of creating space for crowded teeth almost completely useless!
Why are more children being prescribed palatal expanders then?!
Some orthodontists and dentists believe that expanders can be beneficial for the majority of children. Unfortunately, the current evidence and data do not support this belief. Palatal expanders should be used only if there is a clear indication based on evidence and research. If your child is recommended a palatal expander, you should inquire whether he/she has a crossbite, and if not, we suggest you get a second opinion.
My child has a small mouth and crowded teeth, what should be done?
A more effective, simpler, and less costly alternative than a palatal expander is to use an appliance called a space maintainer. Interestingly, baby molars are larger in size than the permanent premolars that replace them. A space maintainers holds the extra space that is left when the baby teeth fall out. Strategically timing and placing space maintainers in your child’s mouth is an effective way to create space for crowded teeth. Orthodontic treatment with braces or Invisalign can be used to straighten crowded teeth once all permanent teeth are fully grown2.
My child was recommended a palatal expander, what should I do?
The best next step is to consult with an experienced pediatric dentist who can evaluate your child’s specific needs and guide you through the process. If you have any questions or concerns, don’t hesitate to contact our clinic.
Book a free consultation with us today, and let’s work together to ensure your child’s smile stays healthy and strong!
References
1. Global distribution of malocclusion traits: A systematic review. Dental Press J Orthod. Nov-Dec 2018;23(6):40.e1-40.e10. doi: 10.1590/2177-6709.23.6.40.e1-10.onl. Maged Sultan Alhammadi, Esam Halboub, Mona Salah Fayed, Amr Labib, Chrestina El-Saaidi.
2. Rapid palatal expansion in the absence of crossbites: added value? Am J Orthod Dentofacial Orthop. 2003 Oct;124(4):362-5. Anthony A Gianelly, Boston University School of Dental Medicine, MA 02118-2392, USA.
Dr. Ramzi Daibis is a board-certified orthodontist and the owner of Band & Wire Orthodontics and Pediatric Dentistry in Clarendon Hills, IL. He specializes exclusively in Invisalign and braces for children and adults.
Band & Wire Orthodontics and Pediatric Dentistry serves Clarendon Hills, Hinsdale, Westmont, Downers Grove, Oak Brook, Willowbrook, Burr Ridge, Western Springs, La Grange, La Grange Park and Chicago.



